ORTODONTISTA LISTA SETE MOTIVOS PARA USAR APARELHO
De acordo com a ortodontista Rejane Flora Fontes uso de aparelhos dentários vai além de fatores estéticos
O aparelho dentário tem como propósito corrigir o posicionamento dos dentes para evitar problemas futuros na face, perda dos dentes e doenças na gengiva.
Mas, como saber se você precisa usar aparelho? Para responder essa pergunta recorremos a especialista em ortodontia Rejane Flora Fontes.
Com mais de quinze anos de atuação na área, Rejane esclarece que os aparelhos são utilizados para uma melhora estética, podendo também reestabelecer funções da fala, da mastigação e até da respiração.
Veja abaixo sete sinais listados pela especialista de que você precisa usar aparelho: 
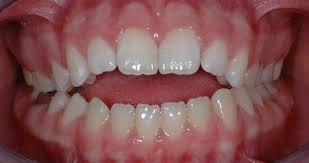
1.Dentes Apinhados: Conhecidos como dentes encavalados. O tamanho dos dentes é maior que o tamanho da arcada, com o pouco espaço ocorre a sobreposição de um dente no outro. Dificulta higienização e com isso facilita o aparecimento de cárie e problemas gengivais. 
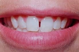
2. Diastemas: É quando existe espaço entre os dentes, o tamanho dos dentes é menor que o tamanho da arcada. Pode acontecer quando há perda ou ausência de dentes.

3. Mordida Aberta: Quando há espaço entre as arcadas. Os dentes inferiores ficam afastados dos superiores. Pode ser causada por uso dechupetas, sucção de dedos, interposição de língua, entre outras causas.
4.Mordida Profunda: Os dentes anteriores superiores, na hora da mordida, cobrem todos ou quase todos os dentes anteriores inferiores. Podem causar desgastes e dores musculares.
5. Mordida Topo a Topo: Os dentes batem no topo um do outro. 
6. Mordida Cruzada: Os dentes superiores ficam por dentro dos dentes inferiores.
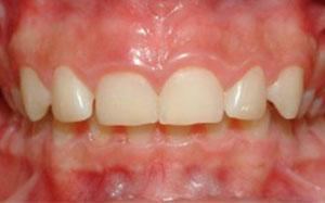
7. Dentes Vestibularizados: Os dentes anteriores superiores ficam bem à frente dos inferiores.
A especialista reforça que todos esses problemas citados prejudicam a estética, respiração, fala e mastigação do paciente e podem gerar perdas ósseas e algumas disfunções na articulação temporomandibular.
“É muito importante quando se tem dúvidas quanto a saúde bucal, procurar um dentista especializado na área específica. Somente um dentista com especialização em ortodontia poderá indicar a necessidade e o tipo correto de aparelho odontológico para cada paciente, pois cada caso é um caso”, explica.
Faça uma avaliação e descubra se você precisa usar aparelho e qual o mais indicado para o seu caso.
Rejane Flora Fontes - Ortodontista
Rua Rio de Janeiro, 400, Centro, São Joaquim da Barra
Fone 16 3818 2558














