VOCÊ SABE O QUE CAUSA A RETRAÇÃO GENGIVAL?
O problema pode acontecer até em bocas saudáveis

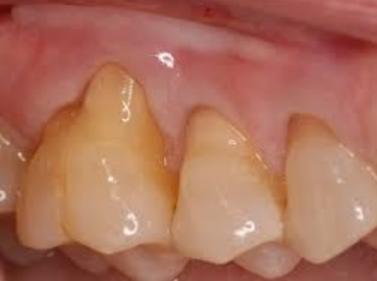
Você pode ter uma boca saudável e bons hábitos de higiene bucal e, ainda assim, sofrer de um problema chamado retração gengival. O tecido gengival saudável forma um colar de proteção ao redor do dente. Quando o tecido gengival se retrai, expondo a raiz do dente pode aparecer a sensibilidade. Com a retração gengival a cárie cervical pode se desenvolver porque a superfície radicular é mais mole e mais suscetível à cárie do que o esmalte da coroa do dente.
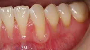
Há dois tipos de gengiva na boca: gengiva inserida, o tecido rosa, mais espesso, que abraça o dente e é aderido firmemente ao tecido ósseo; e a mucosa ou gengiva não inserida de tecido fino, macio e móvel que forma a parte interna dos lábios e bochechas.
A retração gengival ocorre quando o rebordo do tecido gengival (chamado de margem gengival) se afasta da coroa do dente. Uma das principais causas da retração gengival é o mau posicionamento dentário. Resultando em um osso maxilar fino que cobre a raiz do dente. O problema algumas vezes pode ser notado por volta dos 10 anos de idade.
A hereditariedade é um outro fator. A pessoa pode simplesmente ter o tecido gengival fino, frágil ou insuficiente.
Outras causas da recessão incluem escovação agressiva ou excessiva, trauma aos tecidos gengivais e doença periodontal.
Quando uma retração de menor proporção é ignorada, o desenvolvimento da retração e perda óssea ao redor do dente é provável. Os métodos de tratamento variam de acordo com o tipo e gravidade da retração. Se for causada pela escovação excessiva ou agressiva, seu dentista pode orientá-lo sobre formas mais adequadas de higienização bucal.
Cirurgia de enxerto de tecidos moles (chamada de enxerto gengival) e outros procedimentos ajudam a criar mais gengiva inserida para prevenir a progressão da retração gengival e auxiliar na regeneração e restabelecimento da cobertura da raiz.
Se a retração for causada por doença periodontal, o primeiro passo normalmente envolve uma limpeza especial, chamada de raspagem e alisamento radicular. Para muitos pacientes, esse tratamento associado a uma excelente higiene bucal em casa e avaliações regulares pode ajudar a estabilizar o problema periodontal e prevenir futuras perdas de dentes.



ALEXANDRE HENRIQUE FONTES
Mestre e Especialista em Implantodontia, Especialista em Periodontia e Especialista em Prótese Dentária.
Atende na Rua Rio de Janeiro, 400, São Joaquim da Barra.
Telefone: (16) 3818-2558.














